
º´¿øÀ» ¹æ¹®ÇÏ¿© ¾ó±¼ »À X-Ray¿Í Ä¡¾ÆºÐ¼®, ¾ó±¼ À±°ûÀ» º¸°í ¹®Á¦Á¡À» ºÐ¼®ÇÏ°Ô µË´Ï´Ù.
Áø´Ü°ú ºÐ¼®À» ÅëÇÑ È¯ÀÚ °³°³Àο¡ ¸Â´Â ¼ö¼ú¹æ¹ýÀÌ Á¦½ÃµÇ°í »ó´ã ÈÄ ¼ö¼ú °èȹÀ» ¼¼¿ì°Ô µË´Ï´Ù.


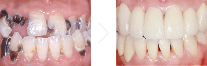
Á¤È®ÇÏ°í °úÇÐÀûÀÎ ºÐ¼®À» ¹ÙÅÁÀ¸·Î Á¾ÇÕÀûÀÎ ¼ö¼ú °èȹÀ» ¼¼¿ì°í, ¼ö¼ú Àü, ȯÀÚ¿ÍÀÇ ÃæºÐÇÑ »ó´ãÀ» ÅëÇØ ¸¸Á·½º·¯¿î ¼ö¼ú °á°ú¸¦ ¾òÀ» ¼ö ÀÖ½À´Ï´Ù.



-
01.
ÀÔ¼úÀ̳ª »´°ú °°Àº ¿¬Á¶Á÷ÀÇ µÎ²²¿Í º¯È·®À» ÆÄ¾Ç.
-
02.
¼ö¼ú ÀüÈÄÀÇ ¾È¸ð º¯È¸¦ 3Â÷¿øÀûÀ¸·Î °Ë»ç
-
03.
ÅÎ ¾ó±¼ ºÎÀ§ÀÇ ¸Å¿ì º¹ÀâÇÑ ³»ºÎ ±¸Á¶(Ç÷°ü,½Å°æ)¸¦ ÆÄ¾Ç.
-
04.
¼ö¼ú ÀüÈÄ ±âµµÀÇ ¿ë·®À̳ª À§Ä¡¸¦ Æò°¡ÇÏ¿© º¸´Ù ¾ÈÀüÇÏ°í Æí¾ÈÇÑ ¼ö¼úÀ» ÇÒ ¼ö ÀÖ°Ô ÇÕ´Ï´Ù.














ÀÔ¼úÀ̳ª »´°ú °°Àº ¿¬Á¶Á÷ÀÇ µÎ²²¿Í º¯È·®À» ÆÄ¾Ç
¼ö¼ú ÀüÈÄÀÇ ¾È¸ð º¯È¸¦ 3Â÷¿øÀûÀ¸·Î °Ë»ç
ÅÎ ¾ó±¼ ºÎÀ§ÀÇ ¸Å¿ì º¹ÀâÇÑ ³»ºÎ ±¸Á¶ (Ç÷°ü, ½Å°æ) ¸¦ ÆÄ¾Ç
¼ö¼ú ÀüÈÄ ±âµµÀÇ ¿ë·®À̳ª À§Ä¡¸¦ Æò°¡ÇÏ¿© º¸´Ù ¾ÈÀüÇÏ°í Æí¾ÈÇÑ ¼ö¼úÀ» ÇÒ ¼ö ÀÖ°Ô ÇÕ´Ï´Ù.












¼ö¼ú Àü º¹¿ëÇϽô ¾àÀÌ ÀÖÀ¸½Ã¸é º¹¿ë ¿©ºÎ¿¡ ´ëÇÑ ³»¿ëÀ» ¹Ýµå½Ã »óÀÇ ÈÄ °áÁ¤ÇϽñ⠹ٶø´Ï´Ù.
¼ö¼ú ÈÄ Åð¿øÇÏ½Ç ¶§´Â ¾ó±¼ÀÌ ºÎ¾î ÀÖÀ¸¹Ç·Î Æí¾ÈÇÑ º¹Àå°ú ¸ðÀÚ, ¸¶½ºÅ©¸¦ ÁغñÇϽô °Íµµ ÁÁ½À´Ï´Ù.
¼ö¼ú 2ÁÖ ÀüºÎÅÍ´Â ´ã¹è, ¼úÀº ÇÏ½Ã¸é ¾ÈµË´Ï´Ù.
¼ö¼ú ÈÄ µÎ´Þ µ¿¾ÈÀº ¹Ýµå½Ã ºÎµå·¯¿î À½½Ä¸¸ ¼·ÃëÇÏ¼Å¾ß ÇÕ´Ï´Ù. (±ÝÁöÇØ¾ß ÇÒ À½½Ä : °í±â, Áú±ä À½½Ä, µüµüÇÑ À½½Ä, ², ¿³ µî)
¿µ¾ç¼·Ãë°¡ ºÎÁ·ÇÑ ½Ã±âÀ̹ǷΠ´Ù´Ï½Ç ¶§ ¾îÁö·¯¿òÀÌ »ý°Ü ³Ñ¾îÁö´Â °ÍÀ» Á¶½ÉÇÏ½Ã°í Æ¯È÷ ¸öÀÌ Å»¼ö µÇÁö ¾Êµµ·Ï ÃæºÐÇÑ ¼öºÐÀ» ¼·ÃëÇÏ¼Å¾ß ÇÕ´Ï´Ù.









